IMPLANTS DENTAIRES
Un implant dentaire est une racine artificielle placée par le chirurgien-dentiste dans l’os alvéolaire de l’un des maxillaires en remplacement de la racine d’une dent extraite et servant de support à une prothèse.
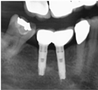
Sa forme est généralement cylindrique ou légèrement conique, ressemblant à une vis, en titane ou en zircone, avec une connexion au niveau supérieur, à l’emplacement de la gencive, pour permettre la pose d’un élément prothétique par vissage ou scellement. Son diamètre varie entre 3 et 5mm et sa longueur entre 6 et 15mm.
Plus de 20 ans de recherche clinique, ayant donné lieu à plusieurs milliers de publications scientifiques indépendantes, nous permettent de proposer un traitement efficace et durable à l’édentement.
Toutes les innovations des systèmes implantaires utilisés reposent sur 3 critères :
- fiabilité : implants conçus pour optimiser la réaction tissulaire , phase de cicatrisation réduite .
- simplicité : une structure de composant logique des procédures simples à apprendre un seul kit chirurgical.
- polyvalence : des résultats concluants pour toutes les indications libre choix de la technique chirurgicale un large choix prothétique.
Cette technique sûre et efficace s’appuie sur des données scientifiques avec un recul clinique de plus de 20 ans. La pose d’un implant, réalisée sous anesthésie locale, est totalement indolore. Elle se pratique au cabinet dentaire ou en clinique. Le choix se fait en fonction de l’emplacement, de la quantité d’os disponible, et des éléments anatomiques environnants à partir d’un examen radiologique et scanner de la zone à implanter.
Une asepsie rigoureuse est importante pour assurer le succès de l’intégration de l’implant.
Le chirurgien-dentiste après une anesthésie locale pratique une incision, puis il décolle la gencive pour accéder à l’os alvéolaire. Ensuite il prépare l’emplacement de l’implant dans l’os en passant plusieurs forêts de diamètre croissant.
Le forage de l’os se fait à vitesse maitrisée et lente sous irrigation, pour respecter la structure et éviter tout échauffement de l’os. Le praticien arrête lorsqu’il à obtenu un puit d’un diamètre très légèrement inférieur à l’implant à poser.
L’implant est placé dans l’os le plus souvent par vissage et doit avoir une forte stabilité dans l’os.
Le praticien replace alors la gencive et pose des points de suture.
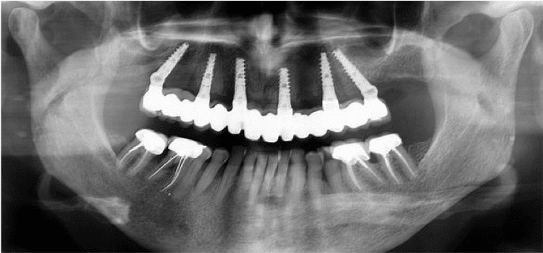
Il faut attendre après la pose de l’implant, l’ostéo intégration, qui peut durer plusieurs mois.
L’implant va se souder complètement avec l’os et contrairement à la dent il n’y a pas de ligament alvéolo-dentaire.
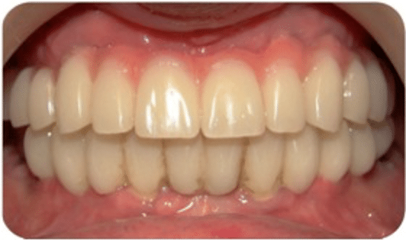
Pour finir, une prothèse sera mise sur cet implant qui se comportera comme une racine artificielle.
Dans certains cas une mise en charge immédiate est possible, c’est à dire la mise en place d’une prothèse transitoire le jour de la chirurgie.
Avantages des implants dentaires
L’implant dentaire présente de multiples avantages :
- La préservation des dents : plus besoin, comme dans la technique du bridge dentaire, de «délabrer» les dents adjacentes.
- La préservation de l’os : même si une seule dent manque, l’os de la mâchoire vient à se rétracter. La mise en place d’un implant dentaire permet donc de préserver le capital osseux de la mâchoire.
- L’esthétique : une prothèse dentaire posée sur un implant offre le meilleur résultat esthétique par rapport à une dent naturelle. Avec les têtes de couronnes en céramique, plus de risques de voir apparaître une «ligne grise» au bord de la gencive avec les années.
- La fonction masticatoire restaurée :
- Chaque dent a une fonction précise : les incisives coupent, les canines déchirent, les prémolaires et les molaires écrasent. Quand une ou plusieurs dents sont manquantes, les forces masticatoires se reportent sur les autres dents. Ces dents sollicitées ne sont pas toujours adaptées et vont s’user prématurément.
- De plus, la digestion ne se fera pas correctement, et c’est l’état de santé général qui va s’en trouver affaibli.
- La sécurité : la technique de la pose des implants dentaires est bien au point en France. Le taux de succès de l’intervention est de 95%.
- La durabilité : un implant dentaire a une durée de vie très longue. Certains implants dentaires posés dans les années 1960 sont toujours en bouche.
Le sentiment d’appartenance : l’implant dentaire a la même force masticatoire qu’une racine naturelle. Il fait partie du corps, il «mange comme une vraie dent». C’est la «proprioception».
Avantages de l'implant dentaire par rapport aux autres prothèses dentaires
L’implant dentaire possède des avantages par rapport à :
- Un bridge dentaire :
- Pour remplacer une dent manquante, le chirurgien-dentiste est obligé de tailler les dents voisines qui sont parfois intactes. Elles servent ainsi de support afin de poser un bridge dentaire («pont» en anglais).
- Avec un implant dentaire, on préserve les dents adjacentes ainsi que l’os qui ne se rétracte pas.
- Une prothèse dentaire amovible :
- Quand plusieurs dents sont absentes voire quand il y a agénésie (absence de dents) complète, on peut être amené à fabriquer un appareil dentaire amovible également appelé «dentier».
- Cette solution ne permet pas de retrouver une mastication satisfaisante, car une prothèse dentaire mobile n’est jamais complètement stable.
