Facettes dentaires

Qu'est-ce qu'une facette dentaire?

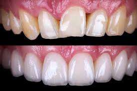
La facette dentaire est une sorte de coque réalisée en céramique, plus rarement en composite, et qui vient recouvrir uniquement la partie visible de la dent.

La facette dentaire fait partie de ce que l’on appelle la «dentisterie cosmétique».

En effet, elle peut modifier la teinte, la forme ou l’alignement des incisives et des canines, ces dents également nommées «dents du sourire».

Dans quels cas se faire poser des facettes?

Les facettes dentaires ont diverses indications :

  • Pour la teinte : parfois les dents ont une couleur naturellement foncée ou leur teinte a été modifiée par un traitement, le tabac, le thé, le café… Quand un blanchiment ne suffit pas, les facettes dentaires sont la meilleure solution.
  • Pour la forme : les dents visibles sont parfois naturellement trop petites, trop courtes ou ont subi des traumatismes (fêlures, cassures…). Les facettes dentaires peuvent ainsi redonner une forme homogène aux «dents du sourire». Toutefois, quand une seule dent a été traumatisée, il peut être plus judicieux de la faire remplacer par une couronne.
  • Pour l’alignement : les facettes dentaires ne peuvent se substituer à un traitement orthodontique. Elles peuvent, tout de même aider à certaines corrections comme des diastèmes (écartements) inesthétiques.

Avantages de la facette dentaire

La facette dentaire possède des avantages indéniables :

  • Esthétique, une facette dentaire en céramique offre une transparence et une blancheur inégalables en matière d’esthétique.
  • Contrairement à la couronne dentaire qui exige une dévitalisation de la racine, la facette dentaire permet de garder la dent vivante.
  • La facette dentaire résiste aux taches alimentaires.

Inconvénients de cette prothèse dentaire

  • Aucun remboursement de la sécurité sociale n’est possible.
  • Pour poser une facette dentaire, le chirurgien-dentiste doit tailler a minima les dents naturelles. Le patient est donc «condamné» à porter des facettes dentaires toute sa vie, la forme initiale de ses dents ayant été définitivement modifiée.